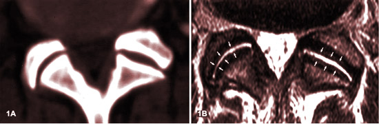
CLASSIFICATION | STÉNOSE FORAMINALE LOMBAIRE

Texte complet
INCIDENCE DE LA STÉNOSE FORAMINALE LOMBAIRE

écart-type (60-86).
Source: A practical MRI grading system for lumbar foraminal stenosis.| Neuroradiology/Head and Neck Imaging.
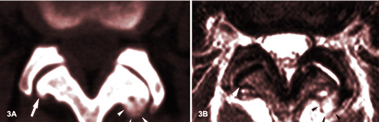
STÉNOSE FORAMINALE DE GRADE 3 ET 4 | CT SCAN LOMBAIRE


Une patiente de 54 ans visite notre clinique en raison d’une sensation de brûlure et d’engourdissement à la jambe droite et d’une douleur à la région lombaire du même côté. À l’examen physique, la patiente nous révèle :
- une chute sur la glace, il y a 9 ans,
- une douleur croissante qui s’étend sur la cuisse droite la nuit,
- des difficultés à dormir qu’elle doit changer de position fréquemment durant son sommeil en raison de douleur à la cuisse.
Nous évaluons que la sténose foraminale à droite est de grade 3, et à gauche de grade 4.
DISCARTHROSE | UNE TENDANCE PROGRESSIVE LINÉAIRE DÉPENDANTE DE L’ÂGE

Une étude IRM sur la discarthrose (discopathie) cervicale (C2-C3 à C6-C7) a observé 497 sujets asymptomatiques.
Les caractéristiques d’imagerie suivantes ont été quantifiées : la perte de signal d’intensité, les protrusions discales antérieures et postérieures, l’amincissement du disque intervertébral et la sténose foraminale.
Les résultats démontrent que la discarthrose (discopathie) a une tendance progressive linéaire dépendante de l âge. Dans la vingtaine, la dégénérescence est de 17 % et 12 % respectivement chez l’homme et la femme. Chez les plus de 60 ans, elle est de 85 % et 89 % respectivement. La compression de la moelle épinière est présent dans 7,6 % chez les 50 ans et plus.
Source: MRI of cervical intervertebral discs in asymptomatic subjects. J Bone Joint Surg [Br] 1998;80-B:19-24
LES TRAITEMENTS COX® POUR L’ARTHROSE LOMBAIRE | VOS OPTIONS

Un disque intervertébral endommagé possède six fois plus de terminaisons nerveuses qu’un disque normal. Avec le temps, la colonne vertébrale devient plus sensible aux changements de position corporelle. L’arthrose lombaire (usure) altère la biomécanique de la colonne vertébrale. Ceci entraîne un plus grand stress sur les disques intervertébraux. Ce phénomène cause des douleurs lombaires diffuses. Les patients rapportent souvent des douleurs matinales qui disparaissent environ deux heures après le lever.
L’arthrose lombaire peut se présenter sans symptôme, mais elle peut causer des engourdissements d’une partie d’un membre inférieur.
Dans le cas de doubles symptômes (douleur lombaire et perte de sensation), les signes neurologiques doivent être contrôlés dès le début des soins. Viendra ensuite le contrôle de la douleur lombaire.
Les traitements en flexion distraction Cox® ouvrent le foramen et libèrent la pression sur le nerf qui cause l’engourdissement. Les soins sont manuels et sans mouvements brusques.
ARTHROSE LOMBAIRE – TRAITEMENT
Le but premier des soins pour l’arthrose lombaire est d’offrir au patient une légère diminution de son inconfort. Chez la plupart des patients qui ne présentent aucun signe neurologique, des résultats apparaissent en moins de quinze jours. Les soins sont doux et procurent un bien-être presque immédiat. Les patients se sentent très encouragés de reprendre leurs activités et de diminuer la médication qui entraîne parfois des effets secondaires indésirables.
ARTHROSE LOMBAIRE | EFFETS MUSCULAIRES NÉFASTES

(r) récepteurs capsulaires
(s) système nerveux
(m) récepteurs musculaires
L’arthrose lombaire entraîne une cascade neuromusculaire néfaste. Le manque de mouvement à travers les articulations lombaires influence les signaux musculaires. Moins les récepteurs des joints articulaires (r) bougent, moins les muscles (m) sont avisés de l’activité vitale à leur bon maintien, tel que le tonus adéquat pour se protéger du mal de dos. En revanche, l’activation de récepteurs de type Alpha (à l’intérieur des muscles) par les flexions latérales (f) des soins transmet au système nerveux (s) des signaux adéquats. Entre autres choses, ceux-ci relâchent des molécules antidouleur très puissantes. Vous possédez une petite pharmacie à l’intérieur de vous; celle-ci ne devient disponible que lorsque vous bougez activement.
COMMENT FONCTIONNE UN TRAITEMENT COX®

Historique | ÉTAPE 1
Le clinicien doit questionner le patient sur la douleur ressentie. Ceci donne un indice de l’origine de la douleur. La localisation des douleurs et leurs natures (sourde, exquise, lancinante ou irradiée), citées par le patient, permettent de formuler un « diagnostic différentiel » – en d’autres termes, le clinicien d’expérience peut, d’après le récit du patient, réduire à deux ou trois possibilités les origines plausibles et se prononcer sur les méthodes de traitement appropriées.Examen physique
ÉTAPE 2
Dans certains cas, l’imagerie sera nécessaire pour confirmer ou infirmer la présence d’une étiologie précise, ou pour clarifier des résultats d’examen incertains. Le clinicien ne doit utiliser l’imagerie qu’après avoir formulé un diagnostic différentiel précis. Trop souvent, l’imagerie est utilisée pour la recherche d’une pathologie. Les anomalies de la colonne lombaire sont nombreuses, et il convient de souligner que lorsqu’elles apparaissent à l’imagerie, elles ne révèlent pas forcément les origines de la douleur du patient. Solutions Cox®
ÉTAPE 3
Les douleurs lombaires réagissent très bien aux méthodes que nous utilisons. La méthode Cox® donne des résultats exceptionnels chez les gens qui souffrent de douleur chronique ou d’arthrose lombaire. Les manipulations sont très efficaces pour les douleurs aiguës.
LES SYMPTÔMES DE l’ARTHROSE LOMBAIRE

Les symptômes de l’arthrose lombaire modérée sont :
- Raideur au bas du dos,
- Diminution de l’amplitude de mouvement du tronc (extension, flexion et rotation), Douleurs diffuses à la région lombaire,
- Fatigue des muscles lombaires,
- Raideur matinale qui s’estompe approximativement deux heures après le lever.
Les symptômes de l’arthrose lombaire modérée progressent comme suit:
- Signes de sciatalgie,
- Picotement ou fourmillement intermittent dans un membre inférieur (fessier, arrière ou avant de la jambe, mollet ou pied.
- Picotement qui varie selon votre positionnement .

Les symptômes de l’arthrose lombaire avancée ou sévère sont:
- Douleurs dans un membre inférieur,
- Perte de sensation : à la fesse, la jambe, le mollet ou le pied,
- Symptômes qui s’aggravent en position assise,
- Abolition d’un ou de plusieurs réflexes (hyporéflexie),
- Troubles de la motricité d’un membres inférieur,
- Crampes et fasciculations musculaires (mouvements des muscles au repos)
La déformation des corps vertébraux et l’hypertrophie des joints facettaires entraînent des signes et des symptômes neurologiques. Ce problème est traitable avec la méthode Cox®.
ARTHROSE FACETTAIRE (spondylarthrose) ET SON APPARENCE IRM :
LES STADES




Source: MR imaging and CT in osteoarthritis of the lumbar facet joints.
LES TRAITEMENTS COX® POUR L’ARTHROSE LOMBAIRE | VOS OPTIONS


L’arthrose lombaire peut se présenter sans symptômes, mais elle peut causer des engourdissements d’une partie d’un membre inférieur. Dans le cas de doubles symptômes (douleur lombaire et perte de sensation), les signes neurologiques doivent être contrôlés dès le début des soins. Ensuite, viendra le contrôle de la douleur lombaire. Les traitements en flexion distraction Cox® ouvrent les foramen et libèrent la pression sur le nerf qui cause de l’engourdissement. Les soins sont manuels et sans mouvements brusques.

